Neumann Lab

Lymphocyte Biology and Intestinal Microenvironment

Christian Neumann
Christian Neumann
Group Leader

Biosketch

Dr. Christian Neumann is an independent group leader at the Institute of Microbiology, Infectious Diseases and Immunology (I-MIDI) at Charité – Universitätsmedizin Berlin. He studied Medical Biotechnology at Technische Universität Berlin, Germany, before pursuing doctoral research in Cellular Immunology at the German Rheumatology Research Center (DRFZ), a Leibniz Association institute. He completed his PhD in 2015 under the supervision of Prof. Alexander Scheffold. Following his doctorate, Dr. Neumann continued at the DRFZ as a postdoctoral researcher in Prof. Scheffold’s laboratory. In 2018, he joined I-MIDI as a postdoctoral fellow in the Department of Developmental and Mucosal Immunology under the mentorship of Prof. Andreas Diefenbach. He subsequently established his independent research group in 2020.

Over the past several years, his laboratory has made important contributions to understanding how the transcription factor c-Maf shapes immune function in the intestine. His work has elucidated the role of c-Maf in both adaptive and innate intestinal lymphocytes, providing key insights into the molecular programs that govern tissue-specific immunity and immune regulation at barrier surfaces. More recently, his research has expanded beyond hematopoietic compartments to investigate non-hematopoietic cell populations, including intestinal epithelial and stromal cells. By dissecting the bidirectional crosstalk between immune and tissue-resident cells, his group aims to define the integrated cellular networks that maintain intestinal homeostasis and contribute to inflammatory disease.

Projects

Tissue Adaptation Of Innate And Adaptive Lymphoid Cells

Chronically stimulated surfaces of the body, in particular the gastrointestinal tract (GI), are major sites where immune cells traffic and reside. Because mucosal surfaces are constantly challenged by fluctuating environmental perturbations, immune cells at these sites display a remarkable adaptive capacity in order to fend off microbial challenges and safeguard organ homeostasis. Tissue-resident innate lymphoid cells (ILC) and adaptive T helper cells are key players in protecting mucosal surfaces and maintaining immune homeostasis. To fulfil this delicate job, is has become clear that mucosal lymphocytes differ significantly in phenotype and function from their circulating or lymphoid-organ counterparts.

The Neumann lab is interested in the molecular basis of lymphocyte adaption to mucosal organs. The goal of our research is to understand the genetic, epigenetic and transcriptional mechanisms that determine the tissue-specific functions of distinct lymphocyte populations. Furthermore, we aim to identity the specific (micro)environmental cues that trigger tissue adaptation and how they influence each particular step of lymphocyte differentiation and lineage commitment.

Host – Microbiota Interactions In Health And Disease

The GI tract constitutes the largest interface between the host and the environment. Inhabited by a plethora of microorganisms (termed microbiota), the GI tract is enriched for immune cells that engage in a complex dialogue with the microbiota to maintain a state of homeostasis that is mutually beneficial. On one side, microbiota and products thereof are indispensable for shaping the development and function of the host immune system, thereby exerting multifaceted impacts on gut and systemic health. On the other side, intestinal immune cells control the composition of microbial communities, promoting colonization with mutualistic microbes and neutralization of invasive pathogens. Importantly, any imbalance of this physiological equilibrium precipitates a pathological state known as gut dysbiosis that has been linked to a variety of intestinal but also extraintestinal diseases, such as inflammatory bowel diseases, autoimmunity and metabolic disorders.

Therefore, we believe that deciphering the molecular underpinnings of the intimate cross talk between host and microbiota during homeostasis and dysbiosis may hold the key to understand many idiopathic diseases. Our research is focused on gut-resident innate and adaptive lymphocytes that specifically control host-microbiota symbiosis. Vice versa, we are interested in the ability of certain microbes to shape and heighten tissue immunity. In addition, a major focus of our research lies on the role of intestinal epithelial cells as the primary interface between host tissue and microbiota that facilitates the bidirectional communication between immune system and microbiota.

Intestinal Stromal-Epithelial cell crosstalk

The intestinal epithelium of the GI tract is a single cell layer organized into villi and crypts, which separates microbiota and host. Stem cells in the crypts constantly generate epithelial progenitors that differentiate and migrate toward the villus tip, where they are shed into the lumen. While some of these processes are epithelial-intrinsic, coordinated interactions with underlying stromal cells are essential for tissue morphogenesis, stem cell maintenance, epithelial differentiation and spatial zonation along the crypt–villus axis.

We investigate how intestinal stromal and epithelial cells communicate to maintain tissue homeostasis. Recently, we identified the transcription factor c-Maf as a key regulator of enterocyte differentiation controlled by stromal Noggin/BMP signals, linking spatial patterning along the villus axis to nutrient absorption and epithelial function. Disruption of this pathway impairs enterocyte maturation and alters immune and microbial homeostasis. Our current work focuses on the molecular pathways, cellular interactions, and spatial organization that coordinate stromal–epithelial crosstalk within the gut microenvironment. By integrating cell biology, genomics, and advanced imaging approaches, we aim to define how these interactions are perturbed in intestinal disease and to identify strategies to restore intestinal function.

Snapshots from the Inside

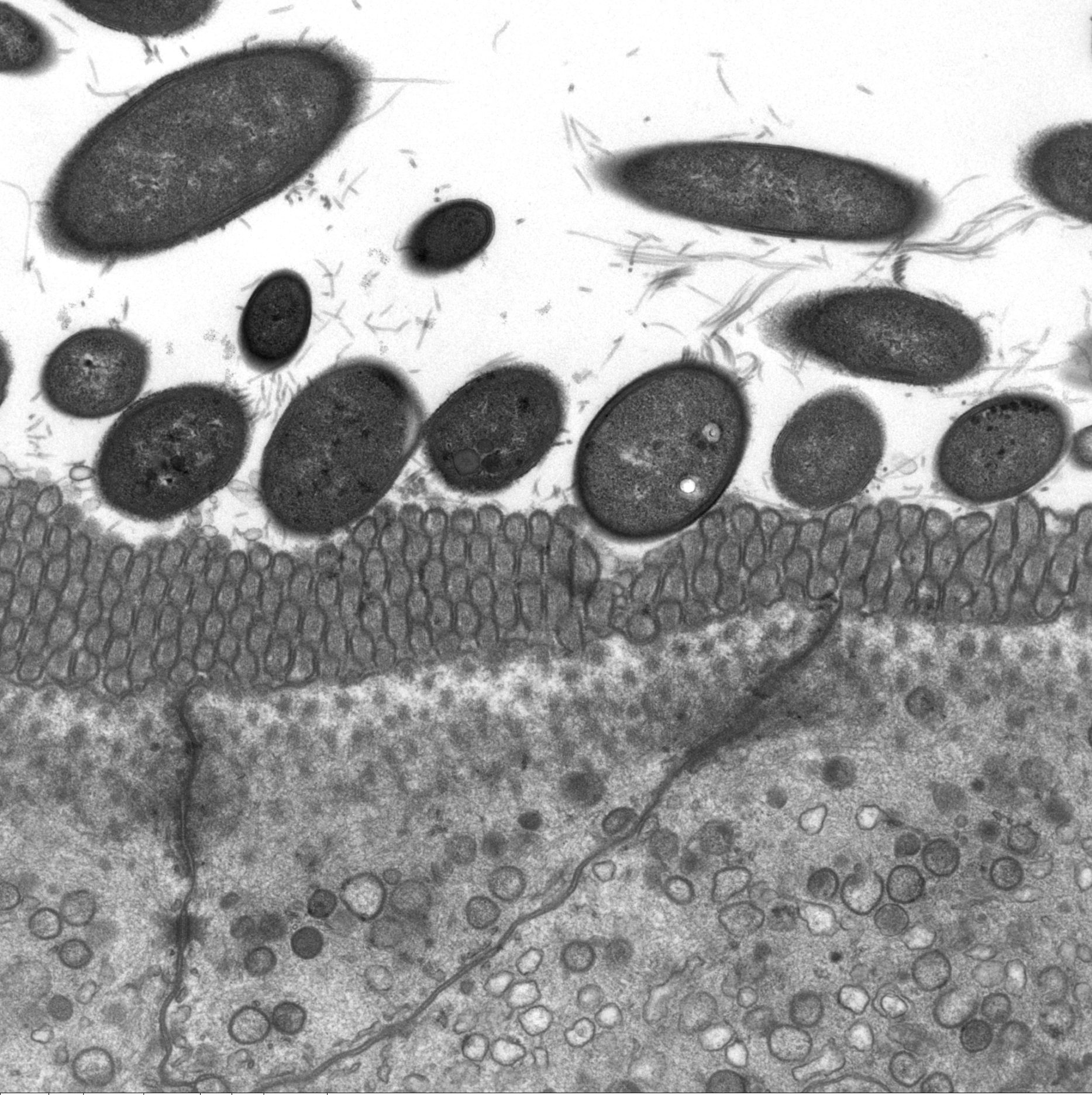
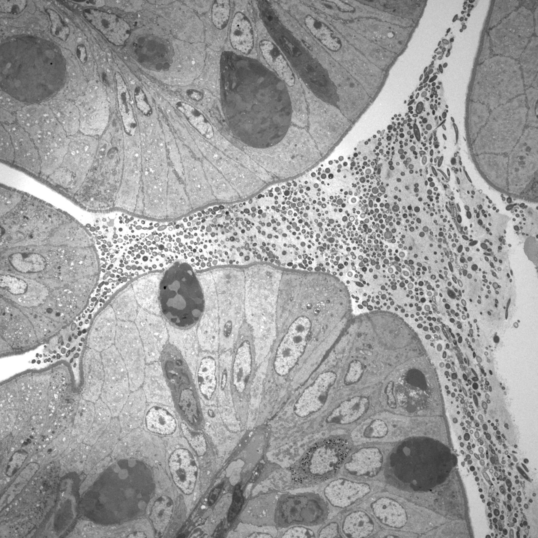
4e_1_x1000
Transmission electron microscopy (TEM) of murine colonic epithelial cells and luminal bacteria. © Neumann Lab
Immunostaining of the transcription factor c-Maf (magenta) and DAPI (green) in the murine small intestinal epithelium. The image highlights the zonated expression of c-Maf in the mid-villus region, where it regulates enterocyte differentiation and function. © Neumann Lab
Immunostaining of murine small intestinal organoids. Epithelial cells are stained with EpCAM (green), cell nuclei with DAPI (blue) and Paneth cells with lysozyme (red). © Neumann Lab
Immunostaining of colonic cross-sections of mice naturally infected with opportunistic worms. Cell nuclei are stainind with DAPI (blue), Goblet cells and mucus with UEA-1 (green) and worms are visible via autofluorescence (red). © Neumann Lab
1a_3
Transmission electron microscopy (TEM) of murine colonic epithelial cells and luminal bacteria. © Neumann Lab
Immunostaining of PEPT1 (red), a peptide transporter, which is strongly regulated by the transcription factor c-Maf in the murine small intestinal epithelium. Epithelial cells are stained with EpCAM (green) and cell nuclei with DAPI (blue). © Neumann Lab
Immunostaining of murine small intestinal organoids. Epithelial cells are stained with EpCAM (green), cell nuclei with DAPI (grey) and Paneth cells with lysozyme (red). © Neumann Lab
Immunostaining of colonic cross-sections of mice naturally infected with opportunistic worms. Cell nuclei are stainind with DAPI (blue), Goblet cells and mucus with UEA-1 (green) and worms are visible via autofluorescence (red). © Neumann Lab

Recent Findings

Molecular regulation of enterocyte differentiation and intestinal nutrient uptake

Throughout the last years it has become increasingly clear that the intestinal epithelium has a remarkable capacity to dynamically adapt to environmental changes, such as alterations of the microbiota, in response to inflammation, injury or variations in energy supply and demand. This plasticity, which has been coined epithelial remodelling, is characterized by a coordinated reshaping of the intestinal epithelial structure and function to appropriately respond to changing environmental input and to eventually restore homeostasis. Especially, the critical importance of intestinal plasticity for maintaining energy balance of the whole organism has been highlighted, yet the molecular mechanisms and transcriptional mediators governing enterocytes and epithelial nutritional remodelling have remained incompletely defined. 

We recently identified c-Maf as a novel key transcriptional regulator of small intestinal enterocytes (Cosovanu et al., JEM 2022). c-Maf, whose expression is determined by opposing Noggin/BMP signals, critically controls the differentiation and function of enterocytes, especially their capacity to sense and take up nutrients. Importantly, the epithelial cell-specific deletion of c-Maf not only compromises the organismal metabolic and nutritional status (due to defects in intestinal nutrient uptake), but also affects the abundance of intraepithelial lymphocytes and commensal epithelial cell-attaching Segmented Filamentous Bacteria, highlighting the close interdependence between intestinal epithelial cell function, the intestinal immune system and microbiota.

Currently, we are studying the role of epithelial c-Maf in experimental models of intestinal remodelling and inflammation, in which nutrient sensing and absorption are dynamically regulated and/or pathologically altered. In addition, we are determining the translational relevance of our murine studies by assessing c-Maf expression and function in human enterocytes in health and intestinal inflammation.

Pubmed: https://pubmed.ncbi.nlm.nih.gov/36121416/

 

Balancing the gut – How the immune system maintains a healthy gut microbiota

We recently uncovered a critical mechanism that controls immune reactions against intestinal microorganisms (Neumann et al., Nature Immunology 2019). By focussing on so-called regulatory T cells (Treg), which prevent harmless microorganisms in the intestine from being attacked by the immune system, we identified a transcription factor, c-Maf, to be critical for the development and function of specific Treg cells in the gut. Deletion of c-Maf in Treg cells resulted in uncontrolled intestinal immunity to the microbiota and a profound microbial dysbiosis. The change in microbiota composition proved remarkably stable. When we transferred the altered microbiota to mice with intact c-Maf-dependent Treg cells, we similarly observed an overreaction of the intestinal immune system, indicating that both the immune system and the microbiota mutually contribute to establishing and maintaining a balanced host-microbiota relationship.

In summary, these findings could explain how microbial dysbiosis can contribute to chronic inflammatory bowel diseases. The identification of c-Maf as a key factor employed by the intestinal immune system to maintain a healthy microbiota, as well as of the signals regulating its expression, represent novel intervention points to counteract microbial dysbiosis and to re-establish intestinal immune homeostasis.

This work was done in close cooperation with Dr Sascha Rutz (Genentech, San Francisco), Dr Axel Kallies (University of Melbourne and Walter and Eliza Hall Institute of Medical Research, Melbourne) and Dr Alexander Scheffold (Kiel University and University Medical Center-UKSH, Kiel)    

Press release: https://www.charite.de/en/service/press_reports/artikel/detail/alles_im_gleichgewicht/

Pubmed: https://pubmed.ncbi.nlm.nih.gov/30778241/

Lab Members

Jacopo Ulisse
Jacopo Ulisse
PhD student

+49 (0)30 450 524 039

Abarajitha Ramesh
Abarajitha Ramesh
PhD student

Alumni

Cerys Ann Fisher
Cerys Ann Fisher
Research Assistant
Catalina Cosovanu
Catalina Cosovanu
PhD student

Publications

Chang Y, Bach L, Hasiuk M, Wen L, Elmzzahi T, Tsui C, Gutiérrez-Melo N, Steffen T, Utzschneider DT, Raj T, Jost PJ, Heink S, Cheng J, Burton OT, Zeiträg J, Alterauge D, Dahlström F, Becker JC, Kastl M, Symeonidis K, van Uelft M, Becker M, Reschke S, Krebs S, Blum H, Abdullah Z, Paeschke K, Ohnmacht C, Neumann C, Liston A, Meissner F, Korn T, Hasenauer J, Heissmeyer V, Beyer M, Kallies A, Jeker LT, Baumjohann D. TGF-β specifies TFH versus TH17 cell fates in murine CD4+ T cells through c-Maf. Sci Immunol. 2024 Mar

Cosovanu C, Resch P,  Jordan S,  Lehmann A, Ralser M, Farztdinov V, Spranger J, Mülleder M, Brachs S, Neumann C. Intestinal epithelial c-Maf expression determines enterocyte differentiation and nutrient uptake in mice. J Exp Med. 2022 Dec

Ahlers J, Mantei A, Lozza L, Stäber M, Heinrich F, Bacher P, Hohnstein T, Menzel L, Yüz SG, Alvarez-Simon D, Bickenbach AR, Weidinger C, Mockel-Tenbrinck N, Kühl AA, Siegmund B, Maul J, Neumann C*, Scheffold A*. A Notch/STAT3-driven Blimp-1/c-Maf-dependent molecular switch induces IL-10 expression in human CD4+ T cells and is defective in Crohn´s disease patients. Mucosal Immunol. 2022 Mar

*Equal contribution

Cosovanu C and Neumann C. The Many Functions of Foxp3+ Regulatory T Cells in the Intestine. Front. Immunol. 2020 Oct

Tizian C, Lahmann A, Hölsken O, Cosovanu C, Kofoed-Branzk M, Heinrich F, Mashreghi MF, Kruglov A, Diefenbach A, Neumann C. c-Maf restrains T-bet-driven programming of CCR6-negative group 3 innate lymphoid cells. Elife. 2020 Feb

Neumann C, Scheffold A, Rutz S. Functions and regulation of T cell-derived interleukin-10. Semin Immunol. 2019 Aug

Neumann C, Blume J, Roy U, Teh PP, Vasanthakumar A, Beller A, Liao Y, Heinrich F, Arenzana TL, Hackney JA, Eidenschenk C, Gálvez EJC, Stehle C, Heinz GA, Maschmeyer P, Sidwell T, Hu Y, Amsen D, Romagnani C, Chang HD, Kruglov A, Mashreghi MF, Shi W, Strowig T, Rutz S, Kallies A, Scheffold A. c-Maf-dependent Treg cell control of intestinal Th17 cells and IgA establishes host-microbiota homeostasis. Nat Immunol. 2019 Apr

Ekmekciu I, von Klitzing E, Neumann C, Bacher P, Scheffold A, Bereswill S, Heimesaat MM. Fecal Microbiota Transplantation, Commensal Escherichia coli and Lactobacillus johnsonii Strains Differentially Restore Intestinal and Systemic Adaptive Immune Cell Populations Following Broad-spectrum Antibiotic Treatment. Front Microbiol. 2017 Dec

Ekmekciu I, von Klitzing E, Fiebiger U, Neumann C, Bacher P, Scheffold A, Bereswill S, Heimesaat MM. The Probiotic Compound VSL#3 Modulates Mucosal, Peripheral, and Systemic Immunity Following Murine Broad-Spectrum Antibiotic Treatment. Front Cell Infect Microbiol. 2017 May

Ekmekciu I, von Klitzing E, Fiebiger U, Escher U, Neumann C, Bacher P, Scheffold A, Kühl AA, Bereswill S, Heimesaat MM. Immune Responses to Broad-Spectrum Antibiotic Treatment and Fecal Microbiota Transplantation in Mice. Front Immunol. 2017 Apr

Neumann K, Rudolph C, Neumann C, Janke M, Amsen D, Scheffold A. Liver sinusoidal endothelial cells induce immunosuppressive IL-10-producing Th1 cells via the Notch pathway. Eur J Immunol. 2015 Jul

Haftmann C, Stittrich AB, Zimmermann J, Fang Z, Hradilkova K, Bardua M, Westendorf K, Heinz GA, Riedel R, Siede J, Lehmann K, Weinberger EE, Zimmel D, Lauer U, Häupl T, Sieper J, Backhaus M, Neumann C, Hoffmann U, Porstner M, Chen W, Grün JR, Baumgrass R, Matz M, Löhning M, Scheffold A, Wittmann J, Chang HD, Rajewsky N, Jäck HM, Radbruch A, Mashreghi MF. miR-148a is upregulated by Twist1 and T-bet and promotes Th1-cell survival by regulating the proapoptotic gene Bim. Eur J Immunol. 2015 Apr

Neumann C, Heinrich F, Neumann K, Junghans V, Mashreghi MF, Ahlers J, Janke M, Rudolph C, Mockel-Tenbrinck N, Kühl AA, Heimesaat MM, Esser C, Im SH, Radbruch A, Rutz S, Scheffold A. Role of Blimp-1 in programing Th effector cells into IL-10 producers. J Exp Med. 2014 Aug

Neumann C, Scheffold A. Therapeutische Manipulation entzündungsfördernder T-Zellen : Von Suppression zur Selbstkontrolle [Therapeutic manipulation of inflammation-promoting T cells: from suppression to self-control]. Z Rheumatol. 2013 Sep

Ni Choileain S, Weyand NJ, Neumann C, Thomas J, So M, Astier AL. The dynamic processing of CD46 intracellular domains provides a molecular rheostat for T cell activation. PLoS One. 2011 Jan